Squamous Vs Glandular Ulcers - Equine

Squamous vs Glandular Ulcers - What is the difference?
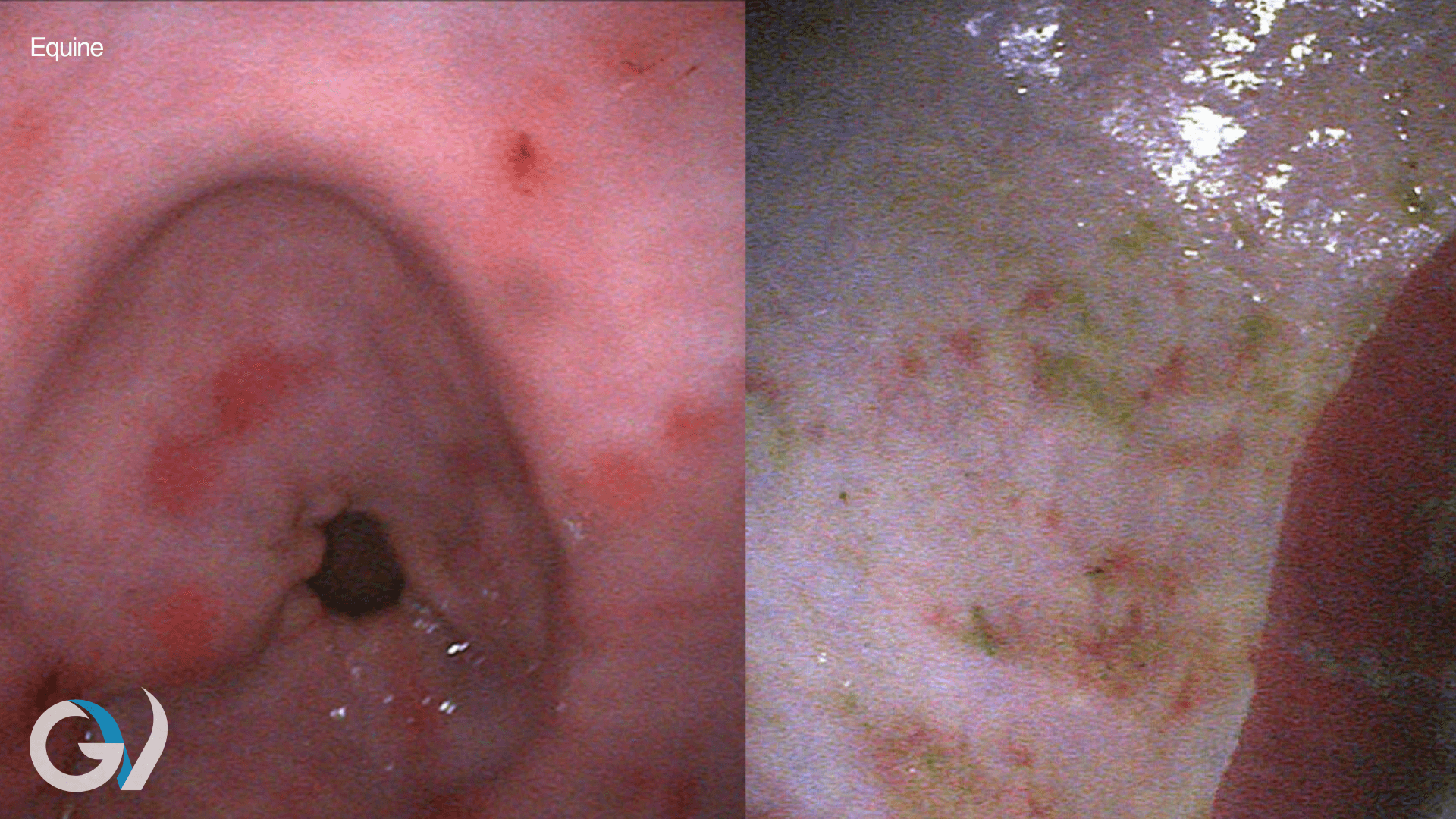
Equine Gastric Ulcer Syndrome (EGUS) is one of the most commonly diagnosed conditions in both performance and pleasure horses. Rather than being a single disease, EGUS includes two distinct forms; equine squamous gastric disease (ESGD) and equine glandular gastric disease (EGGD). Horses may be affected by one or both types at the same time.
The equine stomach is divided into two regions: the upper squamous region and the lower glandular region, where stomach (gastric) acid is produced. The glandular region is naturally better protected from acid, while the squamous region is more vulnerable.

Risk factors for squamous ulcers include:
· Diets that contain high levels of starch or sugar, inc high grain intake
· Low forage intake
· Exercising on an empty stomach
· Inconsistent water access
· Administration of electrolyte pastes

Glandular ulcers, by contrast, are often linked to:
· Stress
· Inflammation/underlying intestinal disease
· Warmbloods
· Young or inexperienced horses
· Multiple riders, excessive work and lack of routine

Common clinical signs include poor performance, reduced appetite, weight loss, girthiness, behaviour changes, coat deterioration, colic, and sensitivity to grooming or leg aids. Symptoms may be subtle, so even minor changes warrant investigation.
Ulcer prevention focuses on management:
Squamous ulcers are mainly related to stomach acidity, which in turn is influenced by diet and management. Therefore, reducing grain to less than 1 g/kg per meal, or even better, using oil as an alternative energy source, offering 2% bodyweight daily in roughage, feeding a flake of lucerne hay immediately before exercise, and incorporating sugar beet pulp to the diet can all be helpful.
For glandular ulcers, consistency is key; maintaining predictable routines, minimising the number of riders, offering environmental enrichment, and providing at least two rest days weekly.
If your horse shows any signs of discomfort or change in behaviour, a veterinary assessment, incorporating gastroscopy can make all the difference. Ulcers are treatable, and early diagnosis leads to better comfort, performance, and wellbeing. Contact our team to book an appointment.
&geometry(315x90))
